Xem trải nghiệm thực tế từ khách hàng
솔직히 지방이식생각없엇는데 주위에서 다필러맞고 뭐넣고 할때솔직히 부럽고 나도 더 입체감잇고 밋밋한 얼굴을 없애고 싶어서많이 고민햇습니당ㅜㅜ 저는...
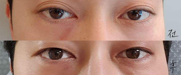
Phẫu thuật cắt mí sau 32 ngày (15 tuổi) 2020-01-18 hit.138 Phẫu thuật cắt mí sau...
#MởGócMắtĐổiĐời #NanaPlasticSurgery #SiêuThânThiện Trước đây mình đã từng phẫu ...
Đánh giá về mở góc mắt trong, rạch, chỉnh sửa mắt (21 tuổi) sau 30 ngày.
코 재수술은 임영민 원장님,실리프팅, 풀페 지방이식, 이중턱 지방흡입은 김준현 원장님께 수술받았습니다^0^ 벌써 8개월이란 시간이 흘렀네요.시간...
Quá trình thực hiện đau hơn mình nghĩ. Nhưng nó kết thúc rất nhanh. Người ta n...
Đánh giá về phẫu thuật cắt mí 30 ngày sau (19 tuổi).
지방이식 시술하고 피부좋아졌다 예뻐졌다는말을 많이들었어요전체적인 이미지도 좋아졌고필자도 없어지고 앞볼꺼짐으로 평면얼굴이였는데입체감이 있어지니 너...
Mắt mình hoàn toàn không có mí đôi ㅠㅠ Mình đã thực hiện phẫu thuật mắt mà mình ...
첫 성형이고 첫 눈수술이었는데 너무 마음에 들게 잘 됐고 원했던인라인도 잘 나온거 같아요~ 눈꺼풀이 두껍지 않아서 자연유착으로했고 눈이 또렷해졌...
베리굿에서 첫 쌍커풀수술한지 3개월정도지났어요한쪽은 곁쌍이고 한쪽은 마음에들어서 고민하다가상담받아보니 비절개 자연유착으로 한다해서티많이 안날것 ...
Mình đã phẫu thuật tại Bệnh viện thẩm mỹ Nana với bác sĩ Park Sun-hee vào ngày 3...
벌써 1년 가까이 되가는 것 같아요광대축소, 사각턱축소, 턱끝축소 윤곽 했구요ㅋㅋ후관리로엘라스티꿈가지 했습니다아~저번 얼굴이 조금 길어보이긴 하...
Mình vừa làm 슈링크 300 shot tại Bệnh viện thẩm mỹ Nana! Tư vấn rất thân thiện và l...
Mí mắt tự nhiên của mình bị sụp xuống, và đường mí từ một đường biến thành nhiều...
[Chị Gangnam] Đánh giá về cắt mí (Rạch, chỉnh sửa mắt, mở góc mắt trong ngày thứ...
[Chị Gangnam] Đánh giá về nâng hông + tiêm filler xương chậu.
Mình vừa tiêm filler môi & khóe môi và botox tại Bệnh viện thẩm mỹ Nana!! Mình ...
턱 수술 후에 쳐진 볼살이나 이중턱이 보기싫어서 어플보고 병원 계속 찾던중에베리굿 방문 하게되었어요예약도 빠르고 체계적으로 해주길래 일단 생각없...
Cuối cùng thì mình cũng đã tiêm sau bao ngày trì hoãn!! Tiêm thu nhỏ đầu mũi. H...