★★★★★ 5.0

수술 전 눈은 졸려보이고 사나워보여서 쌍수를 경심하고 여름방학맞춰서 수술 진행했씁니다!

| | 25
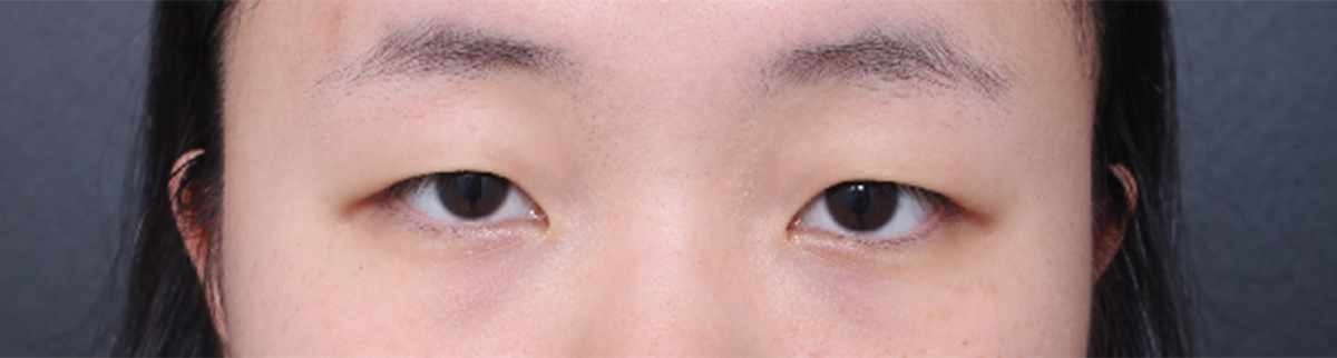
수술 전 눈은 졸려보이고 사나워보여서 쌍수를 경심하고 여름방학맞춰서 수술 진행했습니다!저는 강남 베리굿 성형외과에서 7월19일에 임영민 원장님께 수술받았고,첫눈 수술이었기 때문에 비절개 자연유착, 인아웃라인으로 수술 진행했습니다!양쪽 눈 크기 차이 때문에 라인이 다르게 잡혀서 앞트임도 진행했습니다!수술 전에 정해둔게 하나도 없이 갔는데 같이 라인 잡아보면서 수술방법이랑 어떻게 할지 정했습니다:)상담도 친절하게 해주시고 궁금한 것도 이것저것 물어봤는데 잘 알려주셔서 너무 감사했어요.수술 후에도 눈 찜질할 수 있는팩 주셔서 집에서 유용하게 사용했습니다~!전 붓기도 빨리 빠진 편이고 주위에서 쌍수 잘 했다고 많이해주세요ㅎㅎ 저도 완전 만족합니다. -저희 병원에서 수술하신 뿌숑빠숑피숑 님께서 강남언니에 직접 올려주신 후기입니다-