★★★★★ 5.0 Giá 5 Dịch vụ 5 Chất lượng 5

[Mắt] Tan Tan Doble - Mắt

| | 25
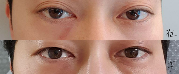
Mí mắt tự nhiên của mình bị sụp xuống, và đường mí từ một đường biến thành nhiều lớp, vì vậy mình đã nghĩ đến việc phẫu thuật. Vì là phẫu thuật mắt, mình đã đến 6 bệnh viện để tư vấn với các bác sĩ và sau khi cân nhắc kỹ lưỡng, mình đã quyết định phẫu thuật tại Bệnh viện thẩm mỹ Nana. Mình đã thực hiện cắt mí và chỉnh hình mắt (ptosis correction) để tạo mí đôi từ mắt một mí và mí lót ở đuôi mắt. Đến nay đã khoảng 2 tháng và mình rất hài lòng vì nó trông rất tự nhiên. ^^