REBEAUTY K-Beauty

Tìm kiếm
Đăng nhập Đăng ký
  • Phòng khám
    Danh mục
    • Xem tất cả
    • Phẫu thuật thẩm mỹ
    • Da liễu
    • Nhãn khoa
    • Nha khoa
    Thủ thuật phổ biến
    • Phẫu thuật thẩm mỹ mắt
    • Nâng mũi
    • Nâng cơ
    • Nâng ngực
    • Hút mỡ
  • Phẫu thuật thẩm mỹ
  • Da liễu
  • Nhãn khoa
  • Nha khoa
  • Đánh giá REAL
  • Trước/Sau
  • Sự kiện HOT
  • YouTube
  • Tạp chí NEW
  • Thẩm mỹ ảo AI
REBEAUTY K-Beauty
Đăng nhập Đăng ký mới
Phòng khám
Tất cả Phẫu thuật thẩm mỹ Da liễu Nhãn khoa Nha khoa
Nội dung
Đánh giá T/S Sự kiện YouTube Tạp chí AI
Hỗ trợ
Câu hỏi thường gặp Thông báo Liên hệ
Đăng nhập MXH
  1. ホーム
  2. ビフォーアフター
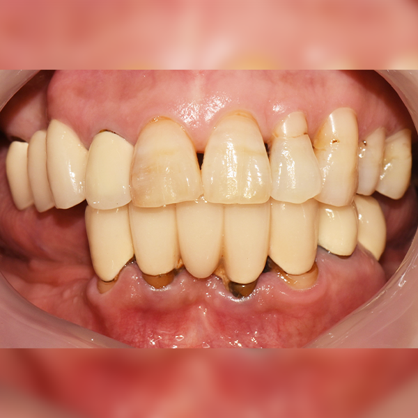
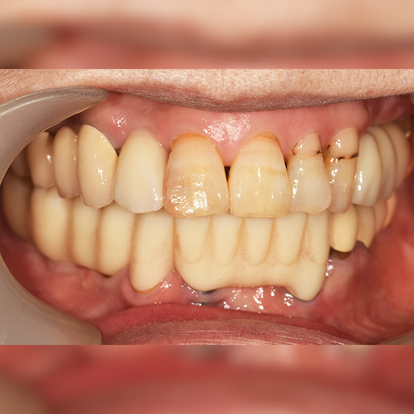
  3. Trường hợp 129: Ông/Bà Han*ja, 60 tuổi, 26/08/2019 / 29/03/2021
Phòng khám nha khoa One Day
상악/앞니 부분 / 3개이하 / 뼈이식|수면

Trường hợp 129: Ông/Bà Han*ja, 60 tuổi, 26/08/2019 / 29/03/2021

2026.02.15 | 26
Before Before
After After
クリニック情報
Phòng khám nha khoa One Dayの詳細を見る
ビフォーアフター一覧に戻る
REBEAUTY K-Beauty
  • Công ty: Công ty cổ phần Beauty Again
  • Mã số DN: 706-88-03573
  • Địa chỉ: 55 Đường Digital-ro 34-gil, Quận Guro, Thành phố Seoul, Tòa nhà Kolon Science Valley 2, Phòng B201-161-7 (08378)
  • Điện thoại: +82-10-1234-5678
  • Email: info@rebeauty.jp
  • Giờ làm việc: Ngày thường 09:00 - 18:00 (giờ Hàn Quốc)
Dịch vụ khách hàng
  • Thông báo
  • Câu hỏi thường gặp
  • Liên hệ
  • Điều khoản
  • Chính sách bảo mật
Theo dõi
Bản tin

Nhận thông tin K-Beauty.

© 2026 REBEAUTY K-Beauty. All rights reserved.

Hỗ trợ tiếng Việt Đặt lịch an toàn Phòng khám chọn lọc
Đang xem:
Trang chủ Tìm kiếm Yêu thích Tin nhắn Tôi
Phổ biến
Phẫu thuật Da liễu Nha khoa Botox Filler